

心電図検査
心臓の筋肉が全身に血液を循環させるために拡張と収縮を繰り返すとき、微弱な活動電流が発生します。その変化を波形として記録し、その乱れから病気の兆候を読み取ろうとするのが心電図検査です。心臓の疾患に関する検査の中では比較的簡単に行えるものであることから、病気発見の第一の手がかりとしてよく用いられます。

ホルター心電図検査
ホルター心電図は、小型軽量の装置を身につけて、日常生活中の長時間の心電図を記録して、これを解析して観察する検査です。不整脈と冠動脈が痙攣する冠攣縮性狭心症は、労作と無関係に夜や早朝に多く見られます。このため、短時間の心電図検査や負荷心電図検査では診断がつかないため、実生活の中で心電図を記録し続けるこの検査が欠かせません。
写真のように、胸に電極を取り付け、小型の機械(腰に固定)を携帯して、心電図を記録します。記録された心電図はコンピュータで解析し、診断をつけます。
もし、携帯中に動悸や自覚症状があった場合にも診断がつく手がかりになります。


レントゲン単純撮影
咳、痰、胸痛、息苦しさなどの症状があるときに多く行なわれる検査で、一般診療や健康診断などでも実施される単純撮影のことを指します。
エックス線は人体を通り抜けますが、骨のように通り抜けにくいところがあるため、通り抜けたX線を画面に写すと濃淡ができ、体内の様子を知ることができます。
胸部X線検査は、X線検査の中で最も簡単な検査方法ですが、肺や心臓、肺の間にある縦隔などの器官の病気について、様々な情報を得ることができますので、幅広く行なわれています。
腹部症状のある時は腹部のX線検査を行う場合もあります。

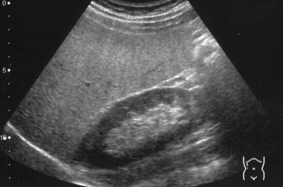
心臓超音波検査
心臓超音波検査(心エコー)とは、人の耳には聞こえないほどの高周波数の超音波を心臓に発信して、返ってくるエコー(反射波)を受診し、心臓の様子を画像に映し出して診断する検査です。
超音波は、臓器や組織にあたると、歪が生じるので、心臓からエコーを受信して画像に映し出し、心臓の動きを観察します。X線撮影やRI検査のように放射線による被曝の心配がありませんので、妊婦や乳幼児でも安心して受けることができます。
この検査を行なう目的は二つあり、一つは心臓の形の異常を発見する形態的診断、もう一つは心臓の働きを見る機能的診断です。


腹部超音波検査
超音波検査では、腫瘍などの有無だけでなく、その大きさや深達度(どのくらいの深さまで達しているか)も調べることができます。また、映し出される画像は、臓器がリアルタイムで動いて見えます。そのため、検査のための組織を採取したり、臓器の位置を確認しながら治療を行うときに使われることもあります。
さらに、この検査はX線検査のように放射線被爆の心配がなく、検査を受ける人の苦痛もなく安全です。


各種血液検査
血液はからだの隅々を駆け巡り、各細胞に必要な酸素や栄養素を運び、古くなった代謝産物や老廃物を運び去る、という大切な働きをしています。その血液の中身を調べれば、全身の組織や臓器の状態や異常がわかるもので、健康診断や人間ドックでは必ず血液検査が行われます。


血圧測定
血圧とは、心臓のポンプ作用によって全身に血液が送り出されるとき、血管に与える圧力のことです。心臓が血液を動脈に送り出す圧力を「収縮期血圧」または「最高(最大)血圧」といいます。これに対して心臓が元に戻り、血液をためる間の血圧を「拡張期血圧」または「最低(最小)血圧」といいます。
血圧測定は循環器系の検査のベースになります。特に、高血圧は動脈硬化に伴って起こる脳卒中や心臓病の重要な危険因子となるため、血圧はこれらの病気を予防する上で重要な指針になります。


酸素飽和度検査
酸素飽和度検査は安静時の動脈血の中に、酸素がどの程度含まれているか(酸素飽和度)を調べる検査です。慢性の息切れが起こる代表的な病気にCOPD(慢性閉塞性肺疾患)があります。COPDのほかにも、急性気管支炎、肺炎、気管支喘息、間質性肺炎(肺線維症)、肺がん、うっ血性心不全などがあります。これらの病気の診断や状態観察の一部として行われます。
指先にパルスオキシメーター(写真参照)という機器をつけるだけで、簡単に測定できます。痛みなどは全くありません。



各種迅速測定
来院時にその場で迅速に結果が判定できる検査です
- インフルエンザ抗原検査
- 白血球数、CRPなどの炎症反応
- H-FABP,トロップT などの急性心筋梗塞の緊急判定
- 血糖簡易測定
- 尿検査一般

AED
自動体外式除細動器。心臓が痙攣し、血液を流すポンプ機能を失った状態(心室細動)となった心臓に対して電気ショックを与えて、正常なリズムに戻すための救命危機です。駅や、ショッピングモールなど様々な公共機関に設置が進んでいます。

ウォーターベッド
温水によるマッサージです。体を温め、筋肉をほぐし、血流を促し、基礎代謝を高める効果があります。腰痛、肩痛にも優しいマッサージです。是非おためしください。

高周波・低周波治療
人気の高周波治療器です。テクノリンク特有のランダムアクセス波がより深部まで到達します。出力周波数・パルス幅・振幅などがランダムに変化する「ランダムアクセス波(0.5~500,000Hz)」を採用しています。EMS機能も搭載したハイエンドモデルです。
